Cabinet d'orthodontie des Docteurs DAO et MOKADDEM
Orthodontie exclusive au RAINCY 93340
5 Boulevard du Midi, 93340 LE RAINCY
+33 1 41 53 92 48

Vidéos 3D - Page 2

Les élastiques de classes ii et iii

Les élastiques de classes ii et iii

Éducateur fonctionnel – concept d’intervention et de prévention

Éducateur fonctionnel – concept d’intervention et de prévention

Traitement multi-attaches

Traitement multi-attaches

L'hygiène en orthodontie

L'hygiène en orthodontie

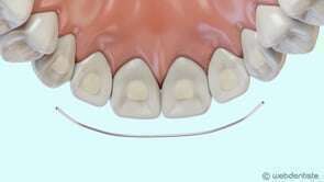
Fil de contention

Fil de contention

Orthodontie : idées reçues, idées revues

Orthodontie : idées reçues, idées revues

Affichage des articles 7-12 sur 16

Création par Webdentiste

Connexion

Bouton Flottant Prendre rendez-vous